Silica Dust is created when we cut, drill, sand, crush, or otherwise breakdown any material that contains Crystalline Silica, particularly concrete.

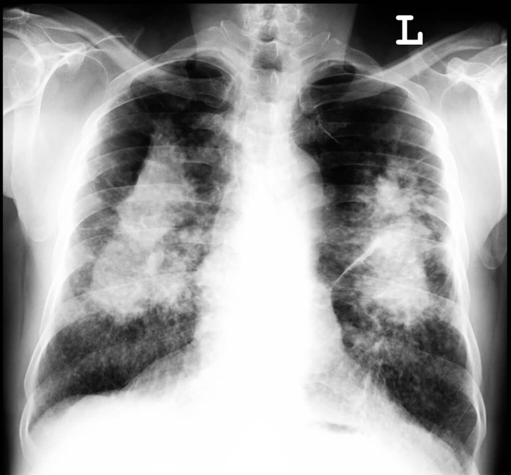
Silica Dust particles are incredibly fine. Because they are so small, the particles can be easily breathed deep into our lungs. From pins and needles in your hands (scleroderma), inflammation of the air-ways (chronic bronchitis), or the destruction of lung tissue (emphysema); to scarring of the lung (silicosis), Kidney Disease and Lung Cancer – the risks and consequences of Silica Dust exposure can be severe.
As a leading demolition and civil contractor, we know Silica Dust can be found in a variety of areas on a construction site – some obvious, others less so:
- Dust from concrete/masonry cutting
- Dust from strip out
- Dust from drop zone or dump chute
- Dust from load out
- Dust from civil earthworks
- Dust on floors when cleaning or sweeping
- Dust embedded in machinery cabin seats
- Dust embedded in machinery cabin floor mats
- Dust from clothes
Regardless of whether you’re a large commercial contractor like us, a self employed construction industry professional, or an experienced DIY home renovator – Silica Dust Control Measures must be a priority before any works start.
Every. Breath. Matters.
It’s not just your health and well being that’s in danger – it is everyone around you as you work.